PARODONTOZA

Kako lahko s pravočasnim obiskom ustnega higienika poskrbite za obvladovanje vnetih in krvavečih dlesni?

POTOVANJE SKOZI ČAS

Parodontoza je bolezen, ki je desetletja nazaj še nismo razumeli , zakaj se je zob razmajal in izpadel, čeprav je bil popolnoma zdrav? Toda danes vemo več. Vemo, da so parodontalne bolezni obvladljive, posebno če so odkrite pravočasno. Lahko se zdravijo in so včasih celo ozdravljive, odvisno od resnosti in napredovanja bolezni.

KAJ JE PARODONTOZA?

Parodontoza je najbolj razširjena kronična vnetna bolezen sodobnega človeštva in je poleg zobne gnilobe glavni vzrok za izgubo zob pri odraslih. Je okužba, povzročena z bakterijami, ki naselijo površino zob nad in pod robom dlesni in prizadene obzobna tkiva, ki so podpora zobem. Prizadene različna svetovna prebivalstva v različno visokem odstotku. V Sloveniji napredovana parodontalna bolezen prizadene 47,1 % oseb, starih med 35 in 85 let (Skalerič, 2015; Skalerič in sod., 2008).

ZAKAJ ČIŠČENJE ZOBNEGA KAMNA NI SAMO ESTETSKO VPRAŠANJE?

V večini primerov parodontalna bolezen ne boli, težava pa se skriva drugje. Naša usta so polna bakterij. Večina teh bakterij je neškodljivih, celo pomembnih za zdravje. Če pa zobnih oblog ne odstranjujemo, ustvarjamo primerno okolje za rast škodljivih bakterij. Poleg okoljskih dejavnikov in nezdravih navad, kot je kajenje, na njen razvoj vpliva tudi genetika, odziv našega telesa.

KAJ SE SKRIVA V OZADJU?

Parodontoza napreduje, vendar dolgo ne povzroča težav in bolečin. Opozorilni znaki parodontoze velikokrat niso vidni, zato je pacienti ne opazijo. Da se v naši ustni votlini dogaja nekaj nezaželenega, nas prva opozori krvavitev dlesni. Zato je pomembno zgodnje odkrivanje parodontalne bolezni, saj začetno stanje lažje in uspešnejše zdravimo in vzdržujemo.

ALI PARODONTOZA POMENI ENAKO KOT VNETJE DLESNI?

Gingivitis je začetna oblika parodontalne bolezni, ki se kaže kot vnetje dlesni, ki krvavijo ob ščetkanju ali hranjenju. Ob ustrezni ustni higieni in rednem obiskovanju ustnega higienika, priporočljivo 2x letno, je reverzibilno stanje.

Parodontitis je napredovana oblika parodontalne bolezni, kjer vnetje ni omejeno le na dlesni temveč vključuje tudi poškodbo kostnega tkiva ob zobni korenini. Vodi v izgubo podpornih obzobnih tkiv ter posledično v izgubo zob.

Parodontoza je starejši izraz, ki se pogosto uporablja kot sinonim za parodontitis.

Vse tri besede poimenujejo določeno stanje parodontalne bolezni, se pravi bolezni obzobnih tkiv.

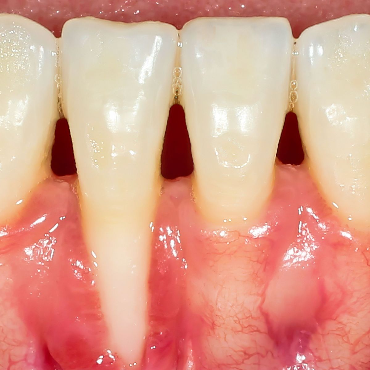
Recesija dlesni
Recesija dlesni

PARODONTALNA RANA

Poleg estetskih težav, kot so krvaveče in otečene dlesni, lahko vodi do izgube zob. Ker parodontalne rane niso vidne, ljudje pogosto ne ukrepajo pravočasno. Če bi na roki imeli rano, v velikosti premera cca 4 cm, ki krvavi in se gnoji, bi hitro poiskali zdravniško pomoč. Parodontalne rane pa pogosto ostanejo neopažene, dokler ni prepozno.

ZAKAJ ZDRAVITI PARODONTALNE BOLEZNI?

Zdravljenje parodontoze je ključno za ohranjanje zdravih zob in splošnega zdravja. Nezdravljena parodontalna bolezen lahko vodi do izgube zob, sistemskih zdravstvenih težav, kot so bolezni srca in sladkorna bolezen, in ima negativne vplive na kakovost življenja, na zmanjšano žvečilno funkcijo, pomanjkanje samozavesti in estetike ter kakovosti življenja.

Napredovana oblika bolezni je kontraindikacija za vstavitev zobnega vsadka (implantata) in v bližini zobnega vsadka (implantata) lahko povzroči vnetje in rezultira tudi z izgubo vsadka.

Diagnostika parodontalne bolezni
Parodontalne meritve
Parodontozo je potrebno zdraviti.
Diabetes in parodontalna bolezen

KAKO LAHKO NEZDRAVLJENA PARODONTALNA BOLEZEN VPLIVA NA SPLOŠNO TELESNO ZDRAVJE?

Med nekaterimi kroničnimi sistemskimi boleznimi in parodontalno boleznijo obstaja medsebojna povezava. Zgodnje odkrivanje in zdravljenje parodontoze je lahko pomembno tudi v povezavi s kroničnimi sistemskimi boleznimi:

Kronične sistemske bolezni kot so sladkorna bolezen, bolezni srca in ožilja, osteoporoza, bolezni dihal, debelost, revmatoidni artritis in bolezenska stanja, kot sta možganska kap in srčni infarkt, so po raziskavah povezane s parodontalno boleznijo.

Parodontoza lahko vpliva tudi na stanje ortopedskih nadomestkov (npr. umetni kolki, umetne srčne zaklopke).

INVESTICIJA V ZDRAVJE

VREDNOST ZDRAVLJENJA PARODONTOZE Z NEKIRURŠKIMI POSTOPKI JE DRAGOCENO, SAJ SE V VEČINI S TEM PRISTOPOM OHRANJA ZOB PO ZOB V USTIH, BREZ POTREBE PO DODATNIH INVESTICIJAH V NADOMESTNE ZOBE, KAR JE CENOVNO UGODNEJE.

KAKO SAMI PREPOZNAMO PARODONTALNO BOLEZEN?

Bodite pozorni na nekaj najopaznejših simptomov parodontalne bolezni:

  • Otekle, vnete dlesni, ki zlahka zakrvavijo pri ščetkanju in nitkanju ter uporabi medzobnih ščetk.
  • Občutljivi zobje – kar se kaže z občutljivostjo na hladno, vroče, sladko in s skelenjem.
  • Slab ustni zadah ali halitoza.

KAKO PRI STROKOVNJAKIH ZA USTNO ZDRAVJE UGOTOVIJO, DA IMAM PARODONTOZO?

Opravi se klinični pregled obzobnih tkiv, kar se v družbi uporablja tudi besedna zveza »merjenje žepkov« ali »parodontalne meritve« in je bistven za oceno stanja in načrtovanje zdravljenja parodontoze.

Začetna, higienska faza zdravljenja vključuje luščenje in glajenje korenin, eno najpogostejših zdravljenj parodontalne bolezni, ki ga opravi ustni higienik, zobozdravnik in specialist parodontolog. Za lažje razumevanje se uporablja tudi izraz »globinsko čiščenje«. Vključuje odstranjevanje produktov vnetja pod nivojem dlesni in glajenje koreninske površine, kar spodbudi celjenje.

RAZLIKA MED NEKIRURŠKIM ZDRAVLJENJEM PARODONTALNE BOLEZNI IN PROFESIONALNO USTNO HIGIENO

Profesionalna ustna higiena:

  • Priporočena je vsakih 6 mesecev za vse, ki nimajo težav s parodontalno boleznijo.
  • Je individualen in tudi rutinski postopek odstranjevanja mehkih zobnih oblog in zobnega kamna okoli in med zobmi ter rahlo pod nivojem dlesni.
  • Pomembna je motivacija pacienta za redno in pravilno vzdrževanje domače ustne higiene. To je ključ do zdravja vaših zob in dlesni.

 

Nekirurško zdravljenje parodontalne bolezni:

  • Je potrebno, ko se bakterije razširijo pod dlesen in ustvarijo poglobljen prostor med zobmi in dlesnimi (parodontalni žepek).
  • Ti žepki so znak parodontalne bolezni, zato je potrebno ukrepati; preprečevati in zdraviti.
  • S higiensko fazo parodontalnega zdravljenja; luščenjem in glajenjem zobnih korenin, odstranjujemo nakopičene produkte vnetja ter pomagamo tkivu, da se zaceli in ponovno učvrsti.

ZAKAJ JE REDNOST OBISKOV PRI USTNEM HIGIENIKU REŠILNA BILKA?

Redni obiski ustnega higienika so rešitev za obvladovanje parodontalnih bolezni. Ustni higienik ne le da pomaga s profesionalno ustno higieno pri vzdrževanju stabilnosti parodontalnega stanja temveč tudi spremlja stanje bolezni. Z ugotovljenimi parametri pripravi diagram tveganja za možnost ponovitev parodontalne bolezni, na podlagi katerega spremlja stanje in napredovanje parodontoze.

CELOSTNA OBRAVNAVA PRI DENTALNI.SI

Pri Dentalni.si vam ponujamo celostno, strokovno in individualno obravnavo za preprečevanje in napredovanje parodontoze bolezni:

  • Celovit klinični pregled obzobnih tkiv (merjenje parodontalnih žepkov) z zapisom več pet parametrov.
  • Profesionalno odstranjevanje zobnih oblog in bakterijskega biofilma.
  • Nekirurško terapijo parodontalnega zdravljenja.
  • Pouk in motivacijo o pravilni domači ustni higieni.
  • Priprava izvida in diagrama tveganja za ponovitev parodontalne bolezni.
  • Vključeni boste v »Recall program« in redne kontrole in prilagajanje terapije glede na stanje.

KAKO VAM LAHKO POMAGAMO?

Danes so na voljo različne, tehnološko napredne in zelo učinkovite možnosti zdravljenja. Za dobre rezultate pa je potrebno medsebojno in vzajemno sodelovanje strokovnjakov za zobozdravstvo.

Naš cilj je, da vam pomagamo ohraniti zdrave zobe in dlesni ter izboljšamo vaše splošno zdravje. Z našo pomočjo boste postali učitelj dobre ustne higiene v svoji družini in skupnosti.

Na naši strani uporabljamo piškotke za pravilno delovanje strani in beleženje obiskanosti strani. S strinjanjem nam dovolite uporabo piškotkov.

Zapri popup
Nastavitve zasebnosti shranjene!
Nastavitve zasebnosti

Ko obiščete katero koli spletno mesto, lahko shrani ali pridobi informacije v vašem brskalniku, večinoma v obliki piškotkov. Tukaj nadzorujte svoje osebne storitve piškotkov.

Ti piškotki so potrebni za delovanje spletne strani in jih v naših sistemih ni mogoče izklopiti.

Tehnični piškotki
Za uporabo te spletne strani uporabljamo naslednje tehnično potrebne piškotke

Onemogoči vse
Sprejmi vse